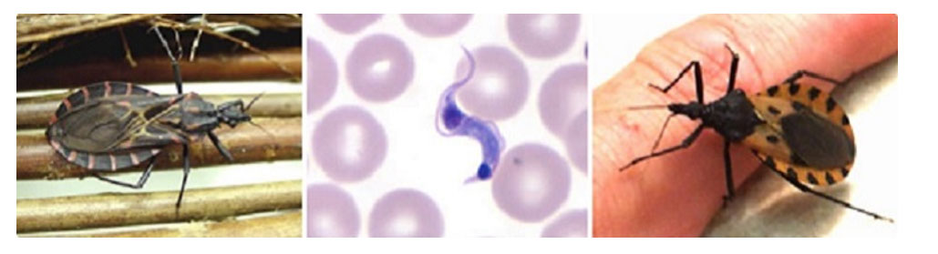
تست Chagas
بیماری شاگاس توسط انگل Trypanosoma cruzi ایجاد می شود که از طریق حشرات ناقل به حیوانات و مردم منتقل می شود و فقط در قاره آمریکا یافت می شود (عمدتاً در مناطق روستایی آمریکای لاتین که در آن فقر گسترده است).
بیماری شاگاس (عفونتT. cruzi ) به عنوان تریپانوزومیازیس آمریکایی نیز شناخته می شود.تأثیر بیماری شاگاس تنها به مناطق روستایی آمریکای لاتین که در آن انتقال از طریق ناقل (بیماری های منتقل شده توسط حشرات) رخ می دهد محدود نمی شود.
جابجایی جمعیت در مقیاس بزرگ از روستاها به مناطق شهری آمریکای لاتین و سایر مناطق جهان، توزیع جغرافیایی را افزایش داده و اپیدمیولوژی بیماری شاگاس را تغییر داده است.
در ایالات متحده و سایر مناطقی که بیماری شاگاس در حال حاضر یافت می شود اما بومی نیست، استراتژی های کنترل باید بر جلوگیری از انتقال از طریق انتقال خون، پیوند اعضا و از مادر به نوزاد (انتقال مادرزادی) تمرکز کنند.
